Human IRF1-KO Dual Reporter THP-1 Cells

NF-κB-SEAP & IRF-Lucia reporter monocytes

ABOUT

IRF1 knockout dual reporter monocytes

THP1-Dual™ KO-IRF1 cells were generated from the THP1-Dual™ cell line through the stable knockout of the IRF1 gene. They feature two inducible reporter genes, allowing the concomitant study of the IRF and NF-κB pathways, by monitoring the Lucia luciferase and SEAP (secreted embryonic alkaline phosphatase) activities, respectively. There are no notable differences in the NF-κB- and IRF-mediated responses in THP1-Dual™ KO-IRF1 cells when compared to their parental cell line, THP1-Dual™ (see Figures).

Interferon regulatory receptor 1 (IRF1) is the founding member of a family of nuclear transcription factors that play an essential role in the immune response. Specifically, IRF1 is highly induced upon viral infection and inflammatory cytokine signaling and, depending on the cell type, promotes the expression of a distinct set of IFN-inducible genes (ISGs) [1]. Unlike the other IRFs, IRF1 acts as an amplifier of the gene expression prompted by these IRFs, and therefore there is no clear phenotype for IRF1-deficient cells [2]. IRF1 has been shown to have a range of different biological functions, including the promotion of systemic inflammatory responses, augmentation of LPS-induced oxidative stress and the expression of the immune checkpoint PD-L1 in the tumor microenvironment [1, 3].

Read More details

 

Key Features:

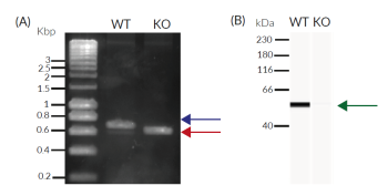
  • Verified knockout of the IRF1 gene (PCR, DNA sequencing, and Western blot)
  • Functionally validated with a selection of PRR ligands and cytokines
  • Readily assessable Lucia luciferase and SEAP reporter activities

Applications:

  • Defining the role of IRF1 in PRR-induced signaling, or other cell signaling pathways
  • Highlighting the possible overlap between IRF1 and other signaling pathways
  • Studying the various biological roles of IRF1 (e.g. oxidative stress)

 

References

1. Feng, H. et al. 2021. Interferon regulatory factor 1 and anti-pathogen innate immune responses. PLoS Pathog 17, e1009220.
2. Jefferies, C.A. 2019. Regulating IRFs in IFN Driven Disease. Front Immunol 10, 325.
3. Deng, S.Y. et al. 2017. Role of IRF1 in lipopolysaccharide-induced mitochondrial damage and oxidative stress responses in macrophages. Int J Mol Med 40, 1261-1269.

Disclaimer:  These cells are for internal research use only and are covered by a Limited Use License (See Terms and Conditions). Additional rights may be available.

SPECIFICATIONS

Specifications

Tested applications

Screening of PRR ligands and cytokines

Cell type
Monocytic
Growth properties
Suspension
Tissue origin
Human monocytes
Reporter gene
SEAP
Lucia®
Antibiotic resistance
Blasticidin
Zeocin®
Growth medium

Complete RPMI 1640 (see TDS)

Mycoplasma-free

Verified using PlasmotestTM

Quality control

Each lot is functionally tested and validated.

CONTENTS

Contents

  • Product: 
    THP1-Dual™ KO-IRF1 Cells
  • Cat code: 
    thpd-koirf1
  • Quantity: 
    3-7 x 10^6 cells
Notes:
  • 1 ml of Zeocin® (100 mg/ml)
  • 1 ml of Blasticidin (10 mg/ml)
  • 1 ml of Normocin™ (50 mg/ml)
  • 1 tube of QUANTI-Luc™ 4 Reagent (sufficient to prepare 25 ml)
  • 1 ml of QB reagent and 1 ml of QB buffer (sufficient to prepare 100 ml of QUANTI-Blue™ Solution)

Shipping & Storage

  • Shipping method:  Dry ice
  • Storage:

    • Liquid nitrogen vapor
    Stability: 20 passages

    Caution:

    • Upon receipt, store immediately in liquid nitrogen vapor. Do not store cell vials at -80°C.

Details

Interferon regulatory factor 1 (IRF1) is the founding member of a family of transcription factors that play a plethora of essential roles in the IFN-dependent immune response. In resting cells, IRF1 is expressed at low levels and then is highly induced upon viral infections and inflammatory cytokine signaling [1]. Upon activation, IRF1 dimers translocate to the nucleus and, depending on the cell type, promote the expression of distinct sets of IFN-inducible genes (ISGs) [1]. Notably, IRF1-dependent gene expression upon IFN (mostly IFN-γ) signaling makes it a critical contributor to prolonged waves of ISGs [2]. IRF1 has been shown to have a range of different biological functions, including promotion of systemic inflammatory responses and apoptosis as well as augmentation of LPS-induced oxidative stress and mitochondrial damage [1-3]. Additionally, it has been shown that in the inflammatory tumor microenvironment, IRF1 promotes the expression of the immune checkpoint PD-L1 and thus, contributes to immune evasion [4]. Importantly, unlike other IRFs (3, 5, and 7), which are the principal mediators of IFN induction upon specific PRRs activation, IRF1 rather acts as an amplifier of the gene expression prompted by these IRFs [5].

 

1. Feng, H. et al. 2021. Interferon regulatory factor 1 and anti-pathogen innate immune responses. PLoS Pathog 17, e1009220.
2. Antonczyk, A. et al. 2019. Direct Inhibition of IRF-Dependent Transcriptional Regulatory Mechanisms Associated With Disease. Front Immunol 10, 1176.
3. Deng, S.Y. et al. 2017. Role of IRF1 in lipopolysaccharide-induced mitochondrial damage and oxidative stress responses in macrophages. Int J Mol Med 40, 1261-1269.
4. Yan, Y. et al.. 2020. Interferon regulatory factor 1 (IRF-1) and IRF-2 regulate PD-L1 expression in hepatocellular carcinoma (HCC) cells. Cancer Immunol Immunother 69, 1891-1903.
5. Jefferies, C.A. 2019. Regulating IRFs in IFN Driven Disease. Front Immunol 10, 325.

DOCUMENTS

Documents

THP1-Dual™ KO-IRF1 Cells

Safety Data Sheet

Technical Data Sheet

Validation Data Sheet

Certificate of analysis

Need a CoA ?

CUSTOMER SERVICE & TECHNICAL SUPPORT

Question about this product ?